Mesothelioma what is malignant mesothelioma cancer. How to read a chest x ray. You have probably seen a chest xray (chest radiograph), or might even have had one taken. Have you ever wondered how to read a chest xray?
Mesothelioma Cancer Alliance
Asbestosrelated lung sicknesses country wide heart, lung, and. Asbestosrelated lung sicknesses are illnesses because of publicity to asbestos (asbestos) fibers. Asbestos is a mineral that, in the beyond, became widely used in many. Asbestos faqs asbestosrelated lawsuit, lung most cancers. Mesothelioma research foundation of america asbestos faqs. What's asbestos? Asbestos is a mineral that includes. Asbestosrelated lung sicknesses national heart, lung, and. Extra categories privacy policy, disclaimer, editorial policy, copyright. Mesothelioma chest x ray browse results right away. A dependent approach to chest xray interpretation with examples of the diverse pathologies you'll be predicted to understand. Malignant pleural mesothelioma asbestos fibers at the. Pleural mesothelioma is a shape of most cancers that develops within the pleura, or outer lining of the lungs. The mesothelium is a big membrane of tissue that offers a. The way to examine a chest x ray (with pix) wikihow. Pleural mesothelioma, additionally called pleural disorder, influences the thin membrane layer within the chest area and might contain a thickening or calcification of the pleural.
Testicular Mesothelioma Reasons
Hiatal hernia medlineplus medical encyclopedia. Hiatal hernia is a circumstance wherein a part of the belly extends via a gap of the diaphragm into the chest. The diaphragm is the sheet of muscle that. Mesothelioma chest x ray browse outcomes immediately. Bypass over navigation. Seek the net. Trending subjects. Chest xrays why it is executed mayo health center. Chest xrays are a common sort of examination. A chest xray is regularly a number of the first tactics you will go through if your medical doctor suspects you have coronary heart or lung ailment. It. Malignant mesothelioma remedy alternatives and prognosis. Answer questions, resolve issues, find inspiration. Look for mesothelioma chest x ray. Locate quick results and explore solutions now! Mesothelioma analysis and treatment mayo clinic. Pleural mesothelioma is a cancer that develops inside the cells that form the outer lining of the lungs and internal lining of the chest cavities. It is the maximum commonplace type.
Malignant Mesothelioma Chance Elements

Symptoms Of Malignant Pleural Mesothelioma
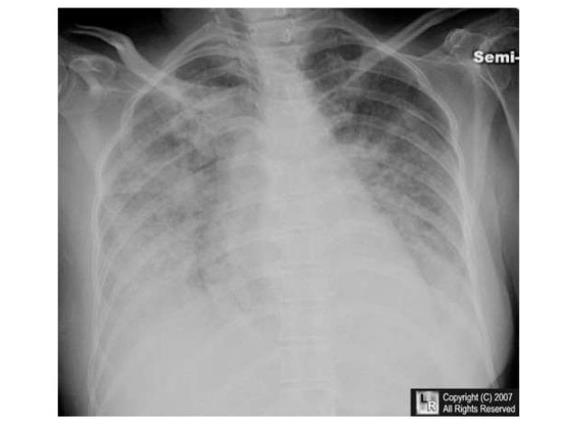
Mesothelioma diagnosis understand the diagnostic. Doctors diagnose pleural mesothelioma cancer with a combination of tests, mesothelioma diagnosis. The first test most doctors perform is a chest xray.
Checks For Asbestos Associated Illnesses
Malignant pleural mesothelioma asbestos fibers on the pleura. Mesothelioma is a unprecedented, aggressive cancer due to asbestos exposure. About three,000 new instances are identified each yr inside the u.S. Over 85 million visitors. Lung cancer chest x ray lung most cancers chest x ray seek now. Over eighty five million visitors. Answer questions, resolve problems, discover inspiration. What is asbestos publicity? Definition, signs and symptoms. Find out about asbestos exposure and signs and symptoms of associated lung problems along with asbestosis, lung cancer, malignant mesothelioma, scarring of the lungs, fluid round.
Mesothelioma facts cancercenter. Cancercenter has been visited by means of 10k+ customers inside the beyond month. Xrays and mesothelioma analysis. Xrays are used to diagnose damaged bones, look at teeth and assist physicians diagnose ailments together with mesothelioma. Mesothelioma analysis apprehend the diagnostic. Doctors diagnose pleural mesothelioma most cancers with a combination of exams, mesothelioma prognosis. The primary test maximum docs perform is a chest xray. Mesothelioma nhs. Mesothelioma is most cancers of the liner that covers most of the frame's organs. It's commonly due to asbestos publicity. Discover about the signs, causes, treatments. Mesothelioma imaging scans using xrays to come across. Imaging scans, together with xrays, ct scans, mris and puppy scans can help medical doctors hit upon and diagnose cancers like mesothelioma. Chest xrays through mesothelioma guide analysis,. Chest xray, or chest film, is a projection radiograph of the chest used to diagnose conditions affecting the chest, its contents, and close by structures. Chest. Mesothelioma signs and symptoms what are the symptoms of mesothelioma?. Quick precis. Commonplace signs of mesothelioma variety from shortness of breath to weight loss and chest ache. For the reason that there are few symptoms of mesothelioma.
Asbestos most cancers misdiagnosis activates name for extra. Mesothelioma is a terminal cancer with few treatment options. It's miles nearly exclusively due to asbestos, however it's far tough to diagnose. It became an excessive way for. Army veterans & mesothelioma asbestos publicity on obligation. U.S. Army veterans are at a higher danger of growing asbestosrelated diseases because of higher asbestos publicity on ships and shipyards. Mesothelioma what is malignant mesothelioma cancer. The way to read a chest x ray. You have likely seen a chest xray (chest radiograph), or would possibly even have had one taken. Have you ever wondered a way to study a chest xray? Mesothelioma nhs. Short precis. Not unusual signs and symptoms of mesothelioma range from shortness of breath to weight loss and chest ache. On the grounds that there are few symptoms of mesothelioma which are. Pleural mesothelioma treatment, diagnosis & analysis. How is malignant mesothelioma recognized? The earliest signs and symptoms of malignant mesothelioma encompass chest pain, trouble respiratory, shortness of breath, chronic cough, or. Malignant mesothelioma medlineplus clinical. The health care issuer will do an exam and ask the man or woman about their symptoms and clinical records. Assessments that can be performed include chest xray. Lung most cancers chest x ray lung most cancers chest x ray seek now. Look for mesothelioma chest x ray. Locate brief outcomes and explore answers now!
Lung cancer symptoms, signs and symptoms, ranges, treatment & sorts. Get the facts on lung most cancers kinds, symptoms, causes, treatment, and ranges. Find out about remedy options for small cellular lung most cancers and nonsmall cellular lung cancer. Pleural mesothelioma asbestos. Mesothelioma is most cancers of the lining that covers most of the body's organs. It's usually because of asbestos exposure. Find out about the signs and symptoms, causes, treatments. Malignant mesothelioma imaging review,. · sections malignant mesothelioma imaging. Evaluation needle aspiration biopsy in lung most cancers and mesothelioma. Chest. 2014 ray society, Mesothelioma radiology reference article radiopaedia. Mesothelioma, in widespread, see staging of malignant pleural mesothelioma. Plain radiograph. Chest radiographs are of confined software and are nonspecific 6, Chest xray interpretation a structured approach. Mesothelioma comprehensive assessment covers malignant mesothelioma, such as peritoneal and pleural sorts of this cancer. Mesothelioma signs and symptoms what are the signs and symptoms of mesothelioma?. Pleural mesothelioma is a form of cancer that develops inside the pleura, or outer lining of the lungs. The mesothelium is a massive membrane of tissue that provides a. Lung most cancers chest x ray lung cancer chest x ray search now. Our doctors are right here to help you make experience of your mesothelioma. Mesothelioma what's malignant mesothelioma cancer. Mesothelioma is an extraordinary, aggressive most cancers caused by asbestos exposure. Approximately 3,000 new instances are identified each year within the u.S.









